牙周病治療專家

李欣哲 醫師

悉心鑽研與細心問診
良心仁術的暖心醫師
陪您一起對抗牙周病

PERIODONTAL DISEASE

認識牙周病

為什麼會得到牙周病?

牙周病是由黏附在牙齒表面的牙菌膜所引起。當口腔衛生做
的不好或不正確,牙菌膜就會長期積聚在牙齦邊緣,牙菌膜
裏的細菌會分泌毒素,刺激牙齒周圍的組織,破壞牙齦,進
而延伸到牙齒周圍的骨頭,使牙齒的地基開始流失,引致牙
周病。

牙周病症狀

1、牙齦紅腫、發炎

牙周病會導致牙齦腫脹,而一般情況下這種腫脹和破壞是不太會產生疼痛的,所以我們叫它「沉默的殺手」。但是,有些患者會感覺牙齦的某個部位有脹癢感或不適感,甚至用牙籤或用手指去觸碰會有舒適感,這就代表您需要專業的牙周檢查和治療了。

牙齒周圍的牙齦腫脹,俗稱長膿包/齒包,是一種

急性且較嚴重的牙周破壞表現,建議儘快就醫治療

2、口臭

引起口臭的原因有很多,其中牙周病是一個重要的原因。牙周病造成牙齦出血,組織發炎,致病的細菌產生代謝產物都會造成口臭。

3、牙齒越來越鬆或咀嚼無力

牙齒有鬆動、位置改變或咀嚼無力,這是因為牙周病造成牙周組織的破壞,牙齒的支持力不足,引起牙齒鬆動、位置改變或吃東西用不上力。實際上這是牙周病到了中期或晚期的一種表現。

4、牙縫越來越大

這也是由於牙周病造成牙齦和下方牙槽骨的退縮,引起牙間本應由牙齦和牙槽骨占據的空間暴露出來,使患者感覺牙縫越來越大。牙周病的臨床表現還有很多,出現這些症狀時,應當及時到牙周科就診,阻止病變進一步發展。

5、刷牙時或咬硬物時牙齦容易出血

正常的牙齦是不應當出血的,許多人認為牙齦出血是身體「火」太大了,買個敗火的牙膏刷牙或吃點敗火的藥就可以了。實際上,牙齦出血是牙周病最早期的症狀之一,是機體發出的信號,告訴你牙齦發炎了,如果你不重視這個信號,那麼牙周病就會繼續發展下去。

6、牙齒移位或伸長

有時牙齒的鬆動可能不很明顯,但很多患者發覺自己的上或下前牙在一段時間內慢慢發生了位置的改變。比如門牙的中縫兒變大了,比如一個門牙發生了扭轉,比如門牙往外飆出來了,再比如下前牙出現了散在的縫隙等等,這些都是牙周炎的症狀。

 

實際上,牙周病的臨床表現還有很多,在此列舉的只是常常出現又沒有引起患者足夠重視的一些症狀。出現這些症狀時,應當及時到牙周科就診,阻止病變進一步發展。

DISEASE

牙周病的預防與保養

正確認識牙周病

認識牙周病

牙周病治療前-你必須先知道的事實

牙周病預防

牙周病如何預防?如何拯救牙齒不拔牙??

牙周病治療

什麼是牙周病治療前應該先知道的事情?牙周病如何正確的治療呢?

潔牙工具-牙刷

正確刷牙的方式
  • 由上排、下排單邊牙齒的最內側開始,把牙刷放在牙齦邊緣的位置,刷毛要傾斜45度,沿著牙齦(牙肉)與牙齒外側邊緣,以2顆牙齒為一組,輕柔地清潔每顆牙齒的牙齦(牙肉)與牙齒邊緣。
  • 沿著牙齦(牙肉)與牙齒內側邊緣及大牙後側,輕柔地刷每顆牙的內壁。
  • 輕輕地前後推刷上、下排牙齒的咀嚼面。
  • 將牙刷伸直放於門牙裏面,利用牙刷前端毛頭,清潔上、下排每一顆門牙。
牙刷挑選重點
  • 刷頭小:刷頭大約兩顆牙齒、或約莫是成人小指的第一節指腹大小,才能刷到後面的牙齒。若找不到適當的成人牙刷,不妨試試兒童牙刷。
  • 刷毛軟:硬毛雖然可以很快地清除牙垢,但是也很容易磨傷牙齒和牙齦,得不償失。
  • 刷毛不要太密:否則容易藏污納垢。
  • 勤換牙刷:一般建議3個月換一次,刷毛提早變形也要換,這表示刷牙太用力!

潔牙工具-牙線

正確牙線使用方式:

  • 取約18吋牙線,將大部分線段繞在雙手中指上,只留中間一或二吋線段清潔牙齒。
  • 用拇指與食指拉緊牙線,輕輕在牙縫中上下挪動。
  • 輕輕將牙線沿著牙齒根部套住牙齒,確定您清除到牙齦線下方。絕對不要硬扯或用力拉牙線, 因為這樣可能會割傷或擦傷細緻的牙齦組織。
  • 清潔不同顆牙齒時,要移到未使用的乾淨牙線線段。
  • 將牙線移出時,使用相同的前後挪動法取出牙線。

潔牙工具-牙間刷

牙間刷用來清潔齒縫,或牙齒及牙齦之間的污垢(食物殘渣
或牙菌斑),分成直的與L型。直的刷前牙牙縫,L型的刷後牙牙
縫。

DISEASE TREATMENT

牙周病治療

牙周病治療過程

說明:

  • 牙周病治療,一般會先進行非手術性的治療,約一個月後
    再評估一次治療的成效。
  • 非手術性治療後需要定期回診做牙周維護,以守住治療
    成果。
  • 若非手術性治療的成效不佳或是有齒槽骨破壞的情況,可
    以考慮做手術治療,以期獲得更多的改善。
  • 若牙周病的控制達到穩定的狀況,便可以進行假牙復。

牙周病檢查

牙周病的檢查目的就是要了解患者牙周病的嚴重程度,以利訂定治療的計畫。檢查分兩項:第一項,測量牙周囊袋的深度,了解牙周病破壞的深度。第二項,拍攝全口X光片,了解牙齒周圍還剩多少骨頭,評估牙齒的預後。

探測牙周囊袋的深度

拍攝全口X光片

牙周病治療 – 非手術性治療

會以超音波洗牙機頭與牙周刮刀清除牙根表面的牙結石,並將牙根表面整
平,移除受感染的齒質讓牙周組織重新貼合乾淨的牙根表面。

清除牙結石與牙根整平

牙周病治療 – 手術性治療

1. 為何需要牙周手術?
  • 有些牙周病較嚴重、牙周囊袋過深,導致無法徹底清除牙根表面的牙結石時,牙周手術可以改善這個狀況。
  • X光片可見骨缺損時,牙周再生手術可以促進牙周組織再生,重建失去的骨質,延長牙齒壽命。
  • 基本的非手術性牙周治療後,經一段時間追蹤與控制仍然持續有較深的牙周囊袋合併發炎表現時,也可以藉由牙周手術來改善這個問題。
2. 牙周手術會不會痛?
  • 手術過程會上麻藥,所以不會痛。若麻藥效果不足或時間已久、麻藥效果變弱,都可請醫師再追加麻藥。手術後的疼痛感因人而異,一般不太會痛。如有需要可按時服用止痛藥,都能達到不錯的疼痛控制。
3. 牙周手術要注意什麼?
  • 暫時用另一側進食
  • 第一天飲食避免吃太熱的食物
  • 手術部位刷牙要輕(使用軟毛牙刷),第一個月先不要用牙線、牙間刷。一天使用2次漱口水,持續一個月
  • 醫師如有開立抗生素,請按時服用完畢
  • 第一周盡量不要抽菸。抽菸確定會引響治療結果,最好戒菸
  • 有任何異狀請與醫師聯絡

    (依每位患者的狀況不同,每位醫師的指示也或有不同,請遵照自己醫師的醫囑為主)

    會先上麻醉,過程不會痛。將牙齦切開與翻開後,清除所有發炎組織、牙結石,確認牙根與骨頭表面乾淨無虞,再進行骨粉等生醫材料的放置,最後進行傷口的縫合。

    局部麻醉、切開翻瓣、牙周清創

    補骨

    縫合

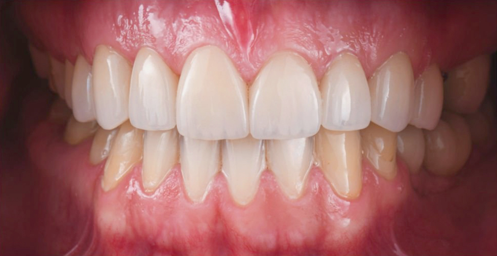
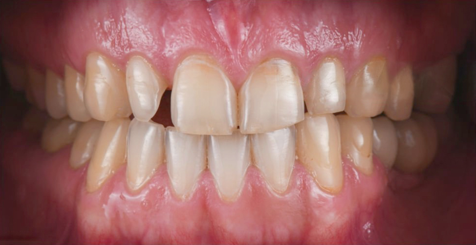
    牙周病治療前、後的差別

    治療前

    治療後

    牙齦呈現暗紅色發炎、牙齦腫大,容易
    有滲出液與流血

    牙齦呈現淡粉紅色、牙齦消腫不易流血

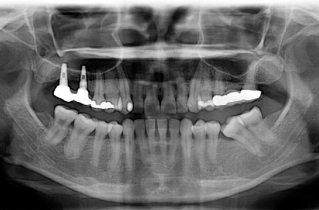
    牙周病治療前、後的差別

    (x光)

    治療前

    齒槽骨有缺角性的破壞

    治療後

    缺角性的骨破壞經牙周

    再生手術後獲得填充

    牙周定期維護

    牙周病治療後為什麼要定期維護?我們都知道,牙周病的病因是細菌,而我們口腔內一直都有細菌,吃完東西後又會大量增加,所以口腔衛生的維護非常
    重要,這也是為什麼牙周病無法根治,只能維持的原因。

    定期回診的重要性:

    • 定期檢查,及早發現問題
    • 自己無法妥善照顧的死角,可由牙醫師適時清理
    • 由牙醫師檢查潔牙是否確實,增強維護的動機

    牙周病10個常見問題

    1. 什麼是牙周病?
    • 因細菌破壞支撐牙齒的骨頭,導致牙齒動搖甚至脫落。
    • 我們口內一直有很多的細菌,當這些細菌堆積在牙齦溝達到一定的量與接觸時間後,就會開始對牙周組織產生破壞,使得原本與牙齒表面貼合的牙齦開始與牙齒產生分離,牙齦與牙齒之間形成一個很深的縫隙,稱為牙周囊袋。這些細菌又更容易藏匿在這個縫隙之中,產生更多的發炎反應,並更進一步導致牙齒周圍的骨頭破壞,最終導致牙齒的動搖與脫落。
    2. 怎麼判斷我可能有牙周病的問題?
    • 牙齦是否容易出血?
    • 牙齦紅腫、疼痛
    • 口臭
    • 牙縫變大、牙齒變長
    • 牙齒位移
    • 牙齒動搖
    • 牙齒脫落
    3. 為何天天刷牙,牙周病仍會纏上身?
    • 刷牙方式錯誤、牙縫處沒有清潔
      • 細菌主要是附著在牙齒與牙齦交接處以及牙縫處,潔牙時必須善用牙刷、牙線來清潔這些地方,才能真正「刷乾淨」。
    • 熬夜、睡眠品質差,特殊疾病例如控制不良的糖尿病,以及抽菸等等都容易促使牙周病的發生
    4. 牙周病會自己好起來嗎?
    • 不會。如果不清除牙菌斑和牙結石,牙周的問題會一直存在。
    5. 牙周病可以治癒嗎?
    • 牙周病是可以治療的,但嚴格來講並不是治癒,而是控制。
    • 大部分的牙周破壞在經過治療後,並不會讓牙周狀況恢復到原本沒有被破壞的樣子,而是讓目前的牙周狀況獲得控制與維持。
    • 經過治療的牙周,如果不能持續維持口腔衛生並定期回診,仍然會有復發的情況。
    • 牙周病治療初期會比較辛苦,但是到了定期追蹤後就會變得比較輕鬆,所以一定要熬過去!
    6. 牙周病怎麼治療,又該如何避免復發?
    • 由牙醫師移除牙菌斑和牙結石、塑造一個利於維護的環境,同時合併患者自身正確、認真的清潔,以達到一個良好的控制結果。
    • 患者必須持之以恆、確實地執行口腔清潔,並定時回診追蹤與維護,才能有效避免牙周病的復發。
    • 牙周病治療的療程
      • 資料收集:全口牙周囊袋深度測量、全口X光片拍攝
      • 口腔衛教:正確使用各種潔牙工具、以牙菌斑顯示劑協助清潔
      • 第一階段(非手術性治療):全口牙周清創與牙根整平
      • 再評估:第一階段後一個月再次進行全口牙周囊袋深度測量
      • 第二階段(手術性治療):需要的時候執行
      • 第三階段(假牙製作):若有缺牙或是牙周治療過程有拔牙時,則需要製作假牙
      • 第四階段(支持性治療):定期牙周追蹤與維護
    7. 抽菸也會造成牙周病嗎?
    • 抽菸是引發牙周病及使其惡化的危險因子之一。
    • 根據研究,抽菸者罹患牙周病的機會是沒抽菸者的2.6~6倍,而其造成嚴重齒槽骨破壞的機會更是沒抽菸者的4.7倍。
    • 牙周病患者在開始牙周治療後持續性的抽菸行為也一樣會影響牙周病治療的效果。抽菸者不管在非手術性牙周治療、手術性牙周治療或治療後維護的效果都比不抽菸者差。
    8. 牙周病治療一定要手術嗎?
    • 牙周治療的本質主要是在清除牙齒周圍的細菌。而基本的非手術性治療便能夠清除大部分的致病菌,只要患者能夠盡全力配合治療、注重口腔衛生的維持,部分患者在治療後便能夠達到極佳的療效而不需手術。
    • 但是對於較嚴重的牙周病、非手術性治療清不到的死角、牙周炎合併骨下缺損的情況,就可能需要進行牙周手術(翻瓣清創、牙周組織再生術)。
    9. 牙周病患者適合植牙嗎?
    • 牙周病並不是植牙的禁忌,只要能夠將牙周病控制穩定,植牙一樣能夠有很高的存活率。若因為先前的牙周病導致骨頭、角化牙齦的喪失,仍然可以藉由補骨、補肉的方式來彌補後天條件的不足。
    10. 我有牙周病但想要裝假牙,可不可以只裝假牙而不做治療?
    • 假牙種類分為固定式假牙、活動式假牙與人工植牙。
    • 固定式假牙與活動式假牙都需要利用缺牙區旁邊的牙齒做支撐,這些牙齒若牙周狀況不好,假牙依靠在這些牙齒上,就好像在不穩定的地基上蓋房子,不但會增加這些牙齒的負擔,清潔沒做好還會加劇牙周病的病情,嚴重的話可能導致拔牙的結果,那假牙就失敗了。
    • 植牙雖然不用依靠自然牙做支撐,但是若牙周病沒有獲得適當的治療與控制,口內牙周致病菌太多,不但會影響植牙成功率,嚴重的話甚至會導致植牙失敗,後果也是很嚴重的。

    需要進一步協助嗎?

    如果您有任何關於牙周病的問題,歡迎來欣鴻植牙會館預約免費諮詢,幫助您重新展開笑容,是欣鴻持續追求的目標。